
Az emberi test részletei 3D-ben
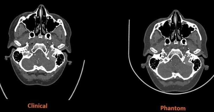
Gondolt már arra, hogy a CT-szkennerek hogyan képesek az emberi testet ilyen részletgazdagon ábrázolni? A titok nyitja részben az úgynevezett fantomokban rejlik, amik az orvosi képalkotó eszközök kalibrálására és ellenőrzésére készülnek. Ezek a modellek olyan pontosan adják vissza az emberi test szerkezeti és radiológiai tulajdonságait, hogy segítenek a pontos diagnózis felállításában és az eszközök beállításában.
A fantomok alkalmazása nemcsak a képalkotási technikák megbízhatóságát növeli, hanem a diagnosztikai precizitást és hatékonyságot is fokozza. 3D nyomtatók segítségével elkészített modernebb modellek révén még pontosabb és személyre szabottabb megoldások érhetők el az orvosi gyakorlatban.
Új dimenziók a gyakorlati használatban
A legújabb fejlesztések az emberi anatómia ultrarealisztikus újrateremtését célozzák. Az additív gyártási technológiák, mint amilyen a 3D nyomtatás, lehetőséget adnak a fantomok testreszabására, ami segítséget nyújt az orvosoknak a személyre szabott egészségügyi ellátásban. Ez az innováció különösen fontos, ha a hagyományos eszközök korlátai miatt új megoldásokra van szükség.
Ezek az új modellek nemcsak az orvosi személyzet munkáját könnyítik meg, hanem hozzájárulnak ahhoz is, hogy a betegek pontosabb és személyre szabottabb ellátást kaphassanak. Az ember által okozott hibák minimalizálására és az eltérések kiküszöbölésére szolgálnak, ami a különösen precíz munkavégzésnél elengedhetetlen.
A kutatási területek fejlődése
A kutatási területekre is jelentős hatással vannak ezek az új technológiák. Az emberi anatómia modellezésével kapcsolatos pontos, háromdimenziós adatokat előállító technikák segítenek a fejlesztésekben. Például a CT rendszerek algoritmusainak további tisztázása és fejlesztése mellett lehetővé teszik új anyagok kifejlesztését és a (jelenlegi) alkalmazási területek bővítését.
Ahogy a technológia tovább fejlődik, az új megoldásokat először kisebb anatómiai modelleken tesztelik, mint például a fej- és nyakrész, majd a bonyolultabb formákon, mint amilyen a szívminták előállítása, egészen a teljes emberi törzs háromdimenziós modelljéig. Ezek a modellek a jövőben meghatározó alapjai lesznek a kutatói munka továbbfejlődésének.
A VARINEX és partnerei munkája jelentős hatást gyakorol az ipari és egészségügyi szektor fejlesztésére. A 3D nyomtatás térnyerése az orvosi innovációk területén új lehetőségeket teremt, melyek folyamatosan tágítják a technológiai határokat. Az együttműködések révén az egészségügyi technológia és a kutatás új dimenziókat tárhat fel.
Mi formálja a jövőt a 3D nyomtatásban?
Az orvosi képalkotás és a fantomok fejlesztése az innovációknak köszönhetően egyre inkább reflektorfénybe kerül. Ezek a fejlesztések nemcsak az orvosi eszközök pontosságát javítják, hanem új lehetőségeket nyithatnak más iparágakban is. Az orvostudomány és 3D technológia közötti szoros együttműködés az iparági korlátok meghaladásának kulcsa lehet, hozzájárulva a jövő technológiájának megalapozásához.
A 3D nyomtatási technológia terjedése széles körben új perspektívát nyújt az élet számos területén, legyen szó oktatásról, kulturális emlékek megőrzéséről vagy személyre szabott orvosi eszközök gyártásáról. Az előttünk álló út tele van lehetőségekkel, amibe érdemes belegondolni, ha a jövő alakulását szemléljük. Az orvosi technológia fejlődése egyértelműen új irányokat adhat mindannyiunk számára.
Megosztás