
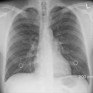
Március 23-án van A tuberkulózis (tbc) elleni küzdelem világnapja. A tuberkulózis más - néven gümőkor, tüdőbaj – egy baktérium által okozott megbetegedés, mely Magyarországon a védőoltásnak köszönhetően már csak ritkán fordul elő. A betegség megelőzhető és gyógyítható, azonban elhanyagolása halálhoz is vezet.
Március 23-án van A tuberkulózis (tbc) elleni küzdelem világnapja. A tuberkulózis más - néven gümőkor, tüdőbaj – egy baktérium által okozott megbetegedés, mely Magyarországon a védőoltásnak köszönhetően már csak ritkán fordul elő. A betegség megelőzhető és gyógyítható, azonban elhanyagolása halálhoz is vezet.

Március 23-án van A tuberkulózis (tbc) elleni küzdelem világnapja. A tuberkulózis más - néven gümőkor, tüdőbaj – egy baktérium által okozott megbetegedés, mely Magyarországon a védőoltásnak köszönhetően már csak ritkán fordul elő. A betegség megelőzhető és gyógyítható, azonban elhanyagolása halálhoz is vezet.